Archivio Storico

Notizie di Giovedì, 18 Ottobre 2012

''Isola pedonale ad Avezzano: una sperimentazione sulla pelle dei commercianti''

L'Aquila - A seguire la nota del presidente Federmoda Italia- Confcommercio Riccardo Savella, inviata al...

pubblicato il 18/10/2012 13:39
Cittadino segnala furto, in manette tre stranieri a Teramo

Teramo - I cittadini tengono sott'occhio i ladri che vengono arrestati dopo un inseguimento dalla polizia....

pubblicato il 18/10/2012 13:36
''Egregio Gabrielli...'': lettera aperta di un parlamentare emiliano e uno abruzzese

L'Aquila - ''Egregio Dottor Gabrielli, abbiamo appreso con stupore, essendo due parlamentari l’uno abruzzese...

pubblicato il 18/10/2012 13:29
Restituzione tributi: Pezzopane, dichiarazioni Fornero dannose

L'Aquila - "Un ministro che si improvvisa legislatore non si era mai visto; trovo le dichiarazioni della...

pubblicato il 18/10/2012 13:28
Terremoto: il Consigliere Regionale del Pdl Iampieri annuncia il testo di legge per la ricostruzione

L'Aquila - "Stiamo lavorando a un testo di legge regionale condiviso e partecipato, che accompagni il...

pubblicato il 18/10/2012 13:17
Lavoro: Abruzzo Engineering, la Provincia dell'Aquila vota un ODG

L'Aquila - Questa mattina durante la seduta del Consiglio provinciale dell'Aquila, sono stati ricevuti i...

pubblicato il 18/10/2012 13:12
Il Comune di Giulianova presenta piano valorizzazione urbana: progetti per oltre 179 milioni

Teramo - Il Comune di gioulianova partecipa al Piano Nazionale per le Città, finalizzato alla...

pubblicato il 18/10/2012 13:11
Crisi e profezia Maya: la Cantina Tollo lancia la nuova bottiglia da collezione

Chieti - Sotto l’albero Cantina Tollo propone il meglio dell'Abruzzo: un intenso vino rosso da non perdere...

pubblicato il 18/10/2012 13:03
Sequestro di un intero reparto dell'ospedale di Teramo

Teramo - I Carabinieri del Nas pongono sotto sequestro l'intero reparto di fecondazione assistita del...

pubblicato il 18/10/2012 13:02
Terremoto: restituzione tributi, il presidente Carlo Benedetti invita alla mobilitazione

L'Aquila - Come presidente del Consiglio comunale, insieme con i consiglieri Ettore Di Cesare, capogruppo di...

pubblicato il 18/10/2012 12:51
Comune di Teramo: oggi riapre il teatro romano

Teramo - Una cerimonia sobria ma intensa per celebrare la riapertura del Teatro Romano. Oggi pomeriggio,...

pubblicato il 18/10/2012 12:46
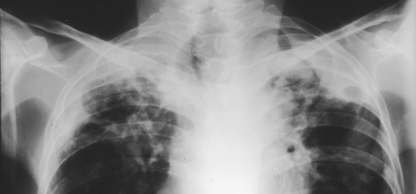
Tubercolosi: Simit, 1,5 milioni di decessi nell'ultimo anno

Pescara - "La tubercolosi assume nuove forme e diventa sempre piu' difficile da combattere": l'allarme...

pubblicato il 18/10/2012 12:37
Rifiuti: Senato nega intercettazioni Di Stefano - Tancredi

Chieti - La giunta elezioni e immunita' parlamentari del Senato ha negato l'autorizzazione...

pubblicato il 18/10/2012 12:30
I Matrimoni Di Riccardo Cigno In Mostra Ad Avezzano

L'Aquila - "Wedding Moments", è questo il titolo della mostra del fotografo Riccardo Cigno, un viaggio...

pubblicato il 18/10/2012 12:21
Prc: pronti alla grande manifestazione contro la restituzione del 100% dei contributi previdenziali

L'Aquila - Riceviamo e pubblichiamo: La richiesta di Inps e Inail di restituzione al 100% dei contributi...

pubblicato il 18/10/2012 12:16
Influenza: Fofi, nulla da temere per i vaccini in distribuzione

"Molti colleghi ci segnalano che le recenti notizie sulla mancata immissione in commercio del...

pubblicato il 18/10/2012 12:09
Campus automotive: Confindustria, indispensabile per l'economia

Chieti - Confindustria Chieti, che per ben otto anni si e' adoperata affinche' il progetto del Campus...

pubblicato il 18/10/2012 12:04
Week-end all'insegna della difesa del suolo e dell'ambiente

L'Aquila - Week-end all'insegna della difesa del suolo e dell'ambiente sotto le insegne del Comune, la...

pubblicato il 18/10/2012 11:57
Parte il mercato del giovedì sul lungomare di Roseto. Disagi in corso

Teramo - Riceviamo e pubblichiamo: Noi della Federazione della Sinistra non amiamo criticare sterilmente...

pubblicato il 18/10/2012 11:49
Terremoto: Catricalà, penso che Gabrielli sia stato male interpretato

L'Aquila - "Penso che non abbia voluto dire le cose che ha detto, lo conosco, sono sicuro che sia stato male...

pubblicato il 18/10/2012 11:42
ottobre 2012