Tubercolosi: Simit, 1,5 milioni di decessi nell'ultimo anno

18 Ottobre 2012   12:37  

"La tubercolosi assume nuove forme e diventa sempre piu' difficile da combattere": l'allarme viene lanciato durante l'11esimo Congresso Nazionale della SIMIT, la Societa' Italiana di Malattie Infettive e Tropicali, con il Patrocinio del Ministero del Salute.

Il Congresso, (www.simit.org), si svolge tra Chieti e Pescara e terminera' sabato 20 ottobre.

Massima attenzione alla tubercolosi. L'appello degli specialisti e' allarmante.

La malattia continua a rappresentare, a livello mondiale, una grave minaccia per la salute pubblica. Nonostante sia curabile, nell'ultimo anno sono stati registrati oltre 1,5 milioni di decessi, quasi 5000 al giorno.

Il 98% dei decessi era concentrato nei Paesi in via di sviluppo. I nuovi casi sono stati oltre 8 milioni, localizzati per l'80% in poco piu' di 20 Paesi ad alta endemia.

L'Organizzazione Mondiale della sanita' (OMS) ha stimato che circa un terzo della popolazione mondiale, due miliardi di persone, sia stata infettata e che di queste il 10% sia destinata ad ammalarsi.

Sempre l'OMS ha lanciato di recente un allarme tubercolosi nei paesi dell'Est Europa, dove l'infezione e' endemica, con dati di prevalenza e di incidenza molto alti (75% del totale europeo).

Si calcola, ad esempio, che dei 70mila casi europei di tubercolosi multiresistente (che non risponde alla terapia di prima scelta ed anche ai principali farmaci di seconda linea) il 95% si registra nei paesi dell'Europa dell'Est.

Questa forma di tubercolosi, definita tubercolosi a "resistenza estesa" (o extremely drug-resistant tuberculosis XDR-TB) si sviluppa in genere in pazienti trattati in modo inadeguato e si puo' trasmettere ad altre persone.

E' una malattia molto difficile da curare, con alti tassi di mortalita'.

Senza un miglioramento delle pratiche cliniche e lo sviluppo di nuovi strumenti diagnostici nonche' di nuovi farmaci, l'eliminazione della TB in Europa rimane una meta irraggiungibile.

"Le nuove forme di tubercolosi non sono piu' sensibili ai farmaci attualmente a disposizione, e non ne sono stati prodotti di nuovi" - allerta il Prof. Orlando Armignacco, Presidente della SIMIT - "Molto spesso si fa l'identificazione tra problema tubercolare ed immigrazione: la tubercolosi colpisce tutti i tessuti sociali.

Si auspica, quindi, una ricerca nel campo farmacologico che possa combattere queste nuove forme per la sicurezza di tutti, grandi e piccoli.

E sarebbe opportuno che farmaci alternativi potessero essere a disposizione di centri specialistici che possiedono sia la competenza clinica, che le stanze idonee per accogliere i pazienti".

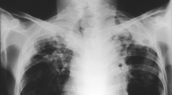
Essendo la TBC una malattia infettiva, occorre fare molta attenzione per individuarla il prima possibile: la tubercolosi attacca solitamente i polmoni, ma puo' colpire anche altre parti del corpo.

Si trasmette per via aerea attraverso goccioline di saliva emesse con la tosse.

La maggior parte delle infezioni che colpiscono gli esseri umani risultano asintomatiche.

I sintomi classici sono tosse cronica con espettorato striato di sangue, febbre di rado elevata, sudorazione notturna e perdita di peso.

L'infezione di altri organi provoca altri sintomi piu' specifici.

 


Oroscopo del Giorno powered by oroscopoore